Dentistry

Why does it matter?

Oral health is more important than we know! Numerous studies have correlated dental disease with worsened heart disease (increased risk of infection and degredation), liver disease (chronic inflammation), kidney disease (increasing risks of failure), joint disease (yea, arthritis!), lung disease (chronic bronchitis), and increasing risk of Diabetes Mellitus (no one enjoys poking their animals with insulin every day).

What entails a dental cleaning?

Prevention is KEY! Bad breath is NOT normal

Dental disease starts the second your animal is born. Bacteria that is present normally in the mouth will start to create plaque within 24 hours of being present on the tooth structure. Plaque is that “sweaters on the teeth” kind of feeling. This soft build-up can be wiped off the tooth. The picture of this animal with the brown build-up has severe calculus. That happens when plaque stays on the tooth for 2 weeks and turns into a calculus. This cemented bacterial layer chronically inflames the gingiva causing bone loss and all of the bodily negative effects. Yuck!

Since it takes 2 weeks for plaque to become calculus, that means you have 2 weeks from the time the sweater arrives to when it is permanent sweater (calculus) and requires more intensive intervention to remove. Once dental disease starts causing bone loss, there is increased oral pain and risks for severe infection like tooth root abscesses. My aim is to give your pet longevity in life by suggesting the best medical care. That will frequently be suggesting teeth cleaning, like you go to your dentist for cleanings, your pet should receive oral cleanings on a frequent basis. 80% of animals by 2-years old having dental disease, let’s sway that statistic for our Chatt-Town babies and keep their mouths pain- and odor-free.

CAN I GET A HECK YA FROM THE BACK?!?!

Preventing disease in 4 easy steps:

1) Largest kibble size possible - one of the BEST ways to keep disease down is hard food with the largest kibble size. I frequently suggest small breed dogs eat normal kibble size, as this forces the tooth to imprint into the kibble removing plaque. Wet food worsens dental disease - I frequently see animals eating these softened food with severe dental disease in comparison to the same kind of animal on regular kibble *cough* Fresh Pet/Farmers Dog.

2) Dental treats! Visit my favorite resource: VOHC.org. This website has research-backed dog and cat dental treats. Doing something EVERY day for your pets oral health will make a huge improvement to their oral care. Please always keep this cardinal rule in mind: NEVER let your pet chew on something you cannot imprint your fingernail into, they WILL risk breaking their teeth if chewed hard enough (see the picture to the left - OUCH!)

3) Brushing teeth - I know this sounds like a headache to enact, but we brush ours twice daily with great efficacy in managing dental disease. If you want to be proactive, brush teeth on a three time a week basis.

4) Schedule an anesthetized dental treatment: One of my biggest veterinary passions is dentistry. Schedule an appointment with us to talk about how to best manage your baby’s care! If beneficial, I will suggest scheduling an anesthetized dental cleaning with thorough oral assessment via dental imaging and high-magnification assessment. We can clean those pearly whites and get that breath fresh to DEF!

  • Anesthesia requires the heart, lungs, kidneys, and liver to be functioning at their best. During the pre-anesthetic assessment, we evaluate your pet to ensure they can safely undergo anesthesia. This includes a full physical exam (nose to tail assessment), bloodwork, and additional testing as needed depending on your pet’s age, medical history, and specific conditions. These may include an EKG to assess heart rhythm, blood pressure measurements, or pre-anesthetic X-rays. By gathering this information, we are able to create an anesthetic plan tailored to your pet’s needs, providing the highest level of safety and comfort during their procedure.

  • Before anesthesia begins, your pet receives a set of carefully chosen pre-medications. These include pain relief, anti-nausea medication, and a mild sedative to help them relax. This keeps your pet comfortable during IV catheter placement, the start of anesthesia, and even into recovery.

    Anesthesia is then started with intravenous medications that are given slowly and adjusted to your pet’s individual response. Once they are safely asleep, we place an endotracheal tube (a soft breathing tube) that fits their airway. This tube protects the lungs and allows us to deliver oxygen and inhaled anesthetic throughout the procedure.

    During anesthesia, your pet is closely monitored with advanced equipment that measures:

    • Heart rate and rhythm (EKG)

    • Blood pressure

    • Oxygen levels in the blood (SpO₂)

    • Carbon dioxide levels while breathing (ETCO₂)

    • Body temperature

    Along with the technology, a trained anesthesia team is at your pet’s side the entire time to make adjustments as needed and keep them safe and comfortable.

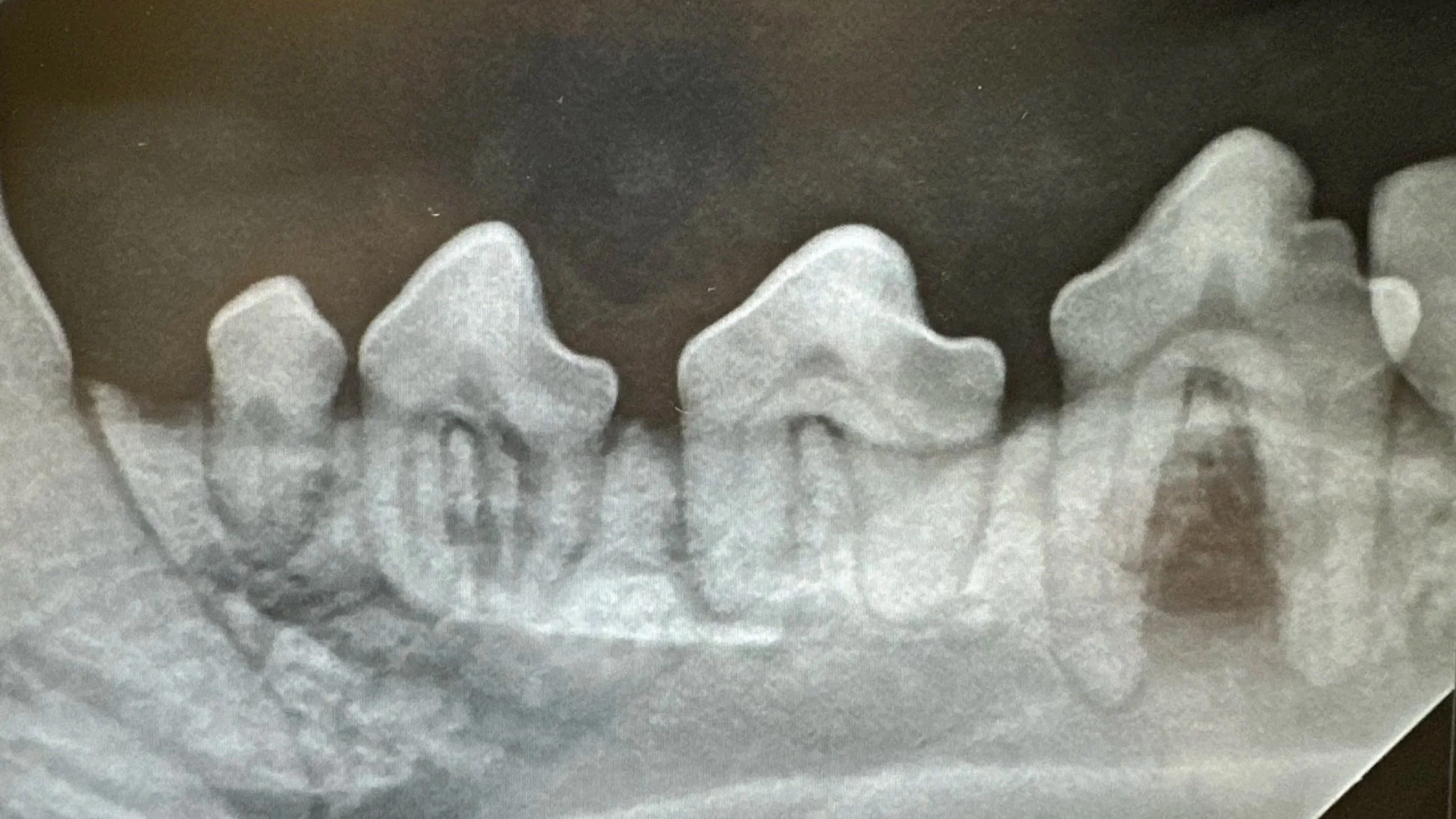
  • At Chatt-Town Veterinary Care, we are proud to be the first clinic in the area to offer state-of-the-art panoramic dental X-ray technology. This advanced system not only reduces radiation exposure but also allows us to take full-mouth images in less than a minute. Traditional dental X-rays can take 15–30 minutes, which means our technology helps significantly reduce your pet’s time under anesthesia.

    Dental imaging is one of the most important parts of a high-quality dental procedure. Much like an iceberg, the part of the tooth you see above the gum line is only a small fraction of the whole structure. The majority of disease—including infections, root resorption, and bone loss—hides below the gums where it cannot be seen with the naked eye. Without X-rays, this disease goes undetected and untreated, leaving pets in pain.

    By using panoramic dental X-rays, we can quickly and safely detect hidden problems and provide the most complete, comfortable, and effective dental care for your pet.

  • After dental imaging has been completed, we perform a thorough oral examination. This is the only appropriate way to fully assess the mouth—by pairing dental X-rays with hands-on evaluation.

    Using specialized dental instruments, we carefully assess:

    • Pocketing: measuring the depth around each tooth to check for periodontal disease

    • Mobility: determining if a tooth has become loose from bone loss

    • Furcation exposure: evaluating the area where roots divide in multi-rooted teeth

    • Gingival and tooth health: identifying inflammation, fractures, or other pathology

    When combined with X-rays, this oral exam provides a complete picture of your pet’s dental health and allows us to make the best recommendations for treatment.

    As much as we wish every tooth could be saved, sometimes extractions or other therapies are necessary to relieve pain and prevent ongoing infection. We do not take tooth-anasia lightly. Our goal is always to preserve teeth when possible, but if leaving a tooth behind means continued pain or disease, we will recommend the path that ensures your pet’s comfort and long-term health.

  • Dental extractions are recommended only when absolutely necessary. If a tooth cannot be saved due to advanced disease, infection, or pain, removing it is the best way to restore your pet’s comfort and overall health. A loose or painful tooth has no value to an animal that only feels the pain and does not understand the value of keeping a tooth because of how it “looks.”

    To ensure a smooth and pain-managed procedure, we use local nerve blocks (similar to what you receive at the dentist) in addition to injectable pain control. This significantly reduces discomfort both during the procedure and in the recovery period.

    Once a tooth is removed, the extraction site is carefully sutured closed. This helps protect the area, promotes faster healing, and minimizes the risk of complications. Our goal is to make every extraction as safe and comfortable as possible so your pet can return to a pain-free, healthy life.

  • Once any diseased teeth or infection have been addressed, the remaining teeth are given a complete professional cleaning. We use an ultrasonic scaler to remove plaque and tartar both above and below the gumline, followed by gentle hand-scaling to ensure no hidden buildup is left behind underneath the gumline

    After scaling, each tooth is polished to smooth the surface, which helps slow down future plaque accumulation. If extractions were performed, we also take post-extraction dental X-rays to confirm proper healing and resolution of all concerns.

    This process not only leaves your pet’s mouth healthier and more comfortable, but also helps prevent future disease—keeping their teeth and gums in the best condition possible.

  • Recovery is one of the most important phases of your pet’s dental procedure. As your pet begins to wake up from anesthesia, our team provides constant, hands-on monitoring to ensure a safe and smooth transition back to full awareness.

    During this period, we carefully track vital signs and comfort level, staying by your pet’s side until we are confident they are stable and safe from the lingering effects of anesthesia. Pain management is a priority, and additional pain-relief injections are given as needed to keep your pet comfortable throughout recovery.

    Our goal is to make this process as gentle and stress-free as possible, so your pet wakes up calm, cared for, and on the path to healing.

    Once your pet is safely awake, comfortable, and ready to leave the hospital, they’ll head home for the best part—snuggles and rest in their favorite spot.

    If extractions were performed, we recommend feeding softened food for about a week to protect the sutures and allow the mouth to heal properly. During this time, please also put away chew toys, bones, or hard treats that could disrupt the healing process.

    At home, it’s normal for pets to feel a little sleepy or groggy the evening after anesthesia. Most bounce back quickly, but we ask that you keep a close eye on them and provide a calm, quiet environment while they recover.

    Things to watch for at home include:

    • Return of appetite and normal drinking within 24 hours

    • Mild swelling at extraction sites (will improve with time)

    • Small spots of blood in the water bowl after drinking (not unusual, but should be minimal)

    • Comfort level—your pet should not show signs of pain such as pawing at the mouth, crying, or refusing to eat

    If you notice persistent bleeding, swelling that worsens, vomiting, lethargy that does not improve, or any other concerning changes, please contact us right away.

    Most pets heal very quickly after dental procedures, and with proper at-home care, they are back to their normal routines—just with healthier, more comfortable mouths.